FINANCIAMOS TUS TRATAMIENTOS

Profesionalidad y Responsabilidad en el cuidado de tus dientes Seguridad y confianza en tus tratamientos Dentales Equipamiento de última Tecnología Profesionales altamente Capacitados
Queremos verte Sonreir...!!!
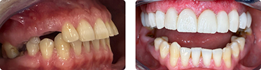
DIBUJAMOS TU SONRISA EN UNA SOLA VISITA
Con implantes inmediatos y provisionales de alta estética, regeneramos tu sonrisa en una sola sesión, de forma segura, precisa y sin esperas. Porque no se trata solo de dientes... Se trata de volver a sonreír con confianza desde el primer día
Provisional de alta estética inmediato

 

Implante Dental
Odontología Preventiva
Limpieza Dental
Estética Dental
Odontología General
Ortodoncia
Prótesis Dental
Blanqueamiento Dental
Te damos mas información de nuestros Tratamientos

 

 

 

Pide Cita Whatsapp 600 397 714
Te Cuidaremos y te Sentiras como en tu casa ´
Queremos cuidar tu salud dental, por ello todos los años nos ponemos en contacto contigo y realizamos una revisión gratuita de tus dientes para asegurarnos que todo marcha bien. Nos esforzamos por realizar siempre una odontología no invasiva, por ello apostamos a la prevención y al cuidado de tu boca.

 

www.cordent.es

 

Clínica Dental CorDent Av De Los Almendros 5 1º F Benidorm - Alicante España
600 39 77 14
Clinica Dental CorDent
Aviso Legal
Política de cookies
Pacientes
Tratamientos La Clínica
Inicio
 600 39 77 14
English